Stories_HERO_IMAGE

Stories

With over 7,000 graduates worldwide, we're changing the face of orthodontics.

Check out the stories of some of our past graduates. Select a student profile on the left and learn more about each doctor and their cases.

Select a profile

nadin_tamimi_practice_picture
dr_ntamimi

Dr. Nadin Tamimi is the principle dentist at Alsalem Dental Clinics. After graduating from POS, she determined that her special interest is in orthodontics and cosmetic dentistry.

Dr. Tamimi graduated from POS’ first program in the Middle East. Because she did not have any orthodontic experience before POS, she took her training seriously and used the online IAT style to study frequently. She quickly impacted lives with orthodontics and started 100 cases by the time she graduated POS. Although she now has about 130 active orthodontic cases of all types, she especially finds the skeletal anchorage cases rewarding.

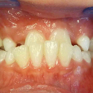
Case Spotlight

BeforeAfter

Patient Info

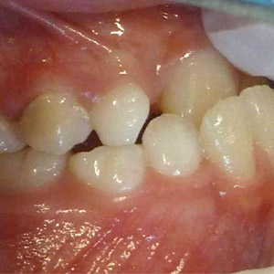
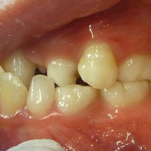
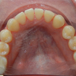
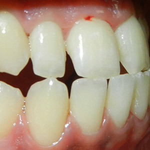
Name: Rivan Age: 31

Chief Complaint: Protrusion of the lower jaw Length of treatment: 36 months Treatment Highlights: Class III non extraction, headgear, elastics

When Dr. Tamimi joined the training series, she knew that she wanted to help her patients immediately. Her patient Rivan mentioned that she didn’t like her smile at all and also had a discomfort chewing as she couldn’t bite on her back teeth. Dr. Tamimi chose Rivan to be her second orthodontic patient and started treatment while in the program.

After performing a thorough analysis, Dr. Tamimi decided that she wanted to use orthodontic treatment to help Rivan transform her smile and bite by reducing her jaw protrusion, fixing her dental Class III, straightening her teeth, correcting her anterior crossbite, creating a proper posterior intercuspation, and correcting Rivan’s inclining upper incisors. Dr. Tamimi also noted the case limitations (a functional shift, thin gum tissue and tapered incisor shape) and discussed these with Rivan.

Dr. Tamimi selected a non-extraction treatment plan to correct Rivan’s Class III bite. She used the customized Individual Patient® Appliance, including “La brackets” to detorque Rivan’s proclined upper incisors, “Ne brackets” to prevent Rivan’s upper canine roots from tipping, and a medium ovoid archwire shape to maintain Rivan’s shape for better retention. Treatment also included a reverse pull headgear and elastics to help open Rivan’s bite.

The treatment was successful and fixed Rivan’s Class III and edge to edge bite. Each time Rivan sees Dr. Tamimi, she mentions that she is very happy with her new smile.

“POS has added a lot to my career and gave me confidence in doing ortho.” -Dr. Nadin Tamimi

Q&A with Dr. Tamimi

How has your experience with POS been?

Great, I loved it, for sure it's the best orthodontic program! I'm lucky that I have entered this program and know the fantastic instructors who have stood by me and helped throughout my journey.

Why did you decide to learn orthodontics with us?

I liked the theoretical part of this program; it felt so clinically oriented and straight to the point. Plus the videos are so helpful, they answer all your questions and give you an excellent training without the need to travel and leave your practice to get the training.

How has POS orthodontics affected your practice?

Working with the IP system has raised the level of orthodontics in my practice, it's efficient and precise. IP is so advanced and it made me special and more impressive to the patients than other orthodontists in my country.

Showing the treatment plan on the IP software has increased my start cases and made my work so impressive to the patients. The software is so brilliant, it makes ortho a lot of fun. From the first cases, I enjoyed tracing and treatment planning.

nadin_tamimi_practice_picture
dr_ntamimi

Dr. Christopher Lee is the friendly senior dentist at Narre Warren Dental. At this family dental clinic, early health is promoted and children under 7 are encouraged to get free dental check-ups. With this preventative focus and POS training, the practice is now 20% orthodontics, serving patients with more treatment options from interceptive care to aiding restorative work.

After graduating from the University of Melbourne, Dr. Lee developed his oral surgery skills and completed his qualifications for the Royal Australian College of Dental Surgeons. After seeing more patients, he wanted additional orthodontic knowledge to complement his surgery skills.

Dr. Lee first studied orthodontics elsewhere at a shorter 16-day program. After completing this course, however, he wanted more support and training to provide the care that he desired. He thus followed his orthodontists’ suggestion to join POS.

Since graduating from POS, Dr. Lee uses orthodontics in ways he never before imagined. While he enjoys treating more orthodontic patients, he also likes working intelligently with his orthodontist on those patients that he referred out. His favorite aspect of dentistry is seeing crowded teeth unravel into a beautiful smile.

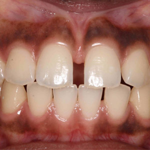
Case Spotlight

BeforeAfter

Patient Info

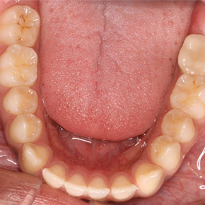
Name: Jane Age: 9.5

Chief Complaint: Poor bite Length of treatment: 9 months Treatment Highlights: Pink fillings, niti open coil, headgear

At a young age, Jane’s parents knew that her bite was not right. Her previous dentist told them that she would need surgery.

When Jane came into Dr. Lee’s clinic, he was determined to help her and discussed her case with an instructor via online diagnosis. They worked together to develop a customized treatment plan for Jane. Dr. Lee recommended that they use Jane’s growth in two phases to transform her smile. Since they started treatment early, Jane would not need the surgery that her family dreaded!

In the first phase of treatment, Dr. Lee prescribed reverse pull headgear and a niti open coil to make space for her erupting upper 2s. Dr. Lee aligned Jane’s teeth with 016N and 18x25 niti wires then placed composites on her posterior teeth to disclude Jane’s bite. Because Jane forgot to use her headgear during Christmastime, she was only able to wear her headgear for 6 months. Despite this unexpected set back, Dr. Lee was still able to get good results.

Jane’s bite corrected from a Class III functional anterior crossbite to having a good overbite and overjet. She is ready to start her second phase of treatment soon to straighten her teeth. Just from Phase I, Jane’s dentofacial improvement is obvious. She now has a full upper lip and her smile is both beautiful and healthy. Her family is now extremely happy.

“Thank you Dr. McGann for pioneering this course for GPs with your blood, sweat and tears” -Dr. Christopher Lee

Q&A with Dr. Lee

What was the most challenging part of orthodontics?

Trying not to look incompetent or worried in front of patients. But with practice and support, I have gotten a lot more confidence.

Why did you decide to learn orthodontics with us?

The POS course was recommended by local orthodontist. I needed an orthodontic program that was comprehensive and well supported. POS was all of this.

How has your experience with POS been?

Overall positive. The computer aided VTO's are invaluable. I still refer patients to specialists but am glad that I now have the necessary diagnostic tools in orthodontics to be a better dentist.

nadin_tamimi_practice_picture
dr_ntamimi

Dr. Dari Shapiro works in two family practices with her husband, Seth. Like POS, she believes in the friendly and family importance in her offices. Seth and Dari offer a full service selection with Seth doing all the surgeries and implants and Dari helping those with pediatric and orthodontic needs. They share the endodontic and prosthodontic work and have an associate to help with the GP work.

Dr. Shapiro got into orthodontic training because her office manager (her father, a retired dentist), insisted it was necessary to be successful. She took a few orthodontic seminars prior to taking POS. However, with this limited training she was frustrated and felt duped into believing that she could do orthodontics without extractions and with limited knowledge. As she started more cases, she realized that she didn’t know enough. When her father showed her a POS brochure, she immediately signed up.

Dr. Shapiro remembers the very first day of POS, and how the light bulb went off. Since starting POS through the Miami (then Atlanta) Live Series, she has helped 250 patients of all ages with her orthodontic care. Orthodontics is now an essential part of her family practices.

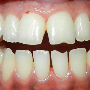
Case Spotlight

BeforeAfter

Patient Info

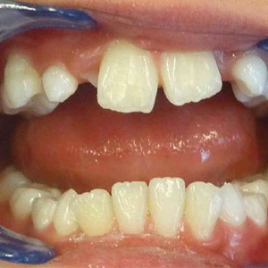
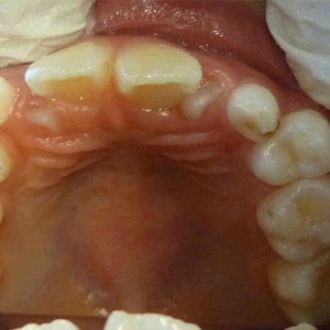
Name: Alexandra Age: 16

Chief Complaint: Excessive spacing Length of treatment (Phase I): 18 months Treatment Highlights: Elastics, power chain, open and closed coils, frenectomy

Alexandra came into Shapiro Family Dentistry with a mission, to get a stunning smile. However, Dr. Shapiro was concerned; Alexandra had more faith in her skills than she did. She was still learning at POS and wasn’t sure if she wanted to take on Alexandra’s case. But Alexandra saw how beautiful her cousin looked after Dr. Shapiro’s orthodontic treatment, and wouldn’t let Dr. Shapiro say no. Alexandra begged, “I will sit in your waiting room everyday until you see me. I am a singer and one day I will be on the stage. You will be proud of me. Please Dr. Shapiro.” Alexandra knew what she wanted and Dr. Shapiro agreed to help her get there.

Alexandra had beautiful teeth, but they were surrounded by excessive spaces. After extensively analyzing Alexandra’s case, Dr. Shapiro decided to use an archwire with keyhole loop, a niti closed coil, open coils, cleats, and elastics to reduce the excessive spacing and close her bite from her tongue thrust habit.

As Alexandra grew, so did Dr. Shapiro’s knowledge and confidence. There were a few hurdles along the way (like open bite) but Dr. Shapiro was able to create good solutions quickly (by fixing her bracket position). Dedicated to provide a stunning smile for Alexandra, Dr. Shapiro also demanded Alexandra’s cooperation, “You will have braces on forever unless you actually wear your elastics and agree to the frenectomy.” Alexandra agreed. Braces did come off and her teeth settled into a nice occlusion during retention and after enamelplasty. Alexandra is now happy with her beautiful smile.

Dr. Shapiro speaks fondly of this experience together “Alexandra is a beautiful girl inside and out and to this day remains one of my favorite patients.” Alexandra promised Dr. Shapiro front row tickets to her first show. But…she just got accepted to medical school! Dr. Shapiro has no doubt that whatever career Alexandra chooses, she will be a stunning star in it.

“I have never come across a company with the customer service and care that POS has. No words can describe how amazing EVERY single person that I have spoken to (instructors, administration, ordering and technical support) has been. When POS uses the word ‘Family’, it’s the perfect description.” -Dr. Dari Shapiro

Q&A with Dr. Dari Shapiro

What was the most challenging part of orthodontics?

Realizing you need to fail to learn. Without jumping in and making mistakes a person will never truly learn. The most rewarding part of learning orthodontics is figuring out the mistake you made and having the knowledge to fix it on your own (without emailing distress signals to the instructors…though you can because they’re always there for you).

How has orthodontics affected your practice?

Orthodontics was always a mystery to me. I barely knew what occlusion was when I graduated. But after POS’ training, orthodontics affected my practice immensely. I love it and do it all the time now. As the seminars progressed my case acceptance progressed. All I do in between patients now is work up orthodontic cases. So much so that we hired a full time associate to do the general dentistry that I just don’t have the time to do anymore. I am actually at a crossroads right now deciding whether to give up general dentistry completely and focus solely on orthodontics.

What was your most rewarding orthodontic case?

My most rewarding orthodontic case was when a shy 9-year old girl (who wouldn’t smile because she was too embarrassed) gave me a great big hug and kiss when we were completed with her case. She admitted she was made fun of in school. She is now a 14-year old makeup-wearing fashionista with a little attitude and a beautiful smile.

The overall appreciation of some of these patients and parents is what keeps me going. It only takes one patient to ruin a good day. But when one of my orthodontic patients comes in and smiles big when they see me? Priceless. Out of all the specialties of dentistry, I believe orthodontics is the most rewarding.

Get in touch.

Call us at 1.714.973.2266 or send an email to info@posortho.com

Advisors are available to speak with you Mon-Fri 6:00AM - 5:30PM PST. Emails will be responded to within 1-2 business days.

Copyright © 2026, Progressive Orthodontic Seminars, All Rights Reserved
Privacy Policy